Идеальная чёткость при автоматической фокусировке даже сложные случаи делает простыми. Оборудование отличается простотой эксплуатации (управление EasyPad, автоматическое позиционирование, индивидуальные настройки).
При помощи такого оборудования специалист сможет успешно решить широкий спектр диагностических и лечебных задач. Качественное изображение, достоверность при разноуровневой резкости (технология Sharp Layer), гибкий объём, 30 доступных вариантов цвета. Цефалометрическая визуализация позволяет получать боковые или симметричные снимки, а также определить положение при смещении зуба. Работая при разрешении до 80 мкм в режиме низкой дозы и HD, вы получаете качественные изображения выбранного формата, заботясь о комфорте и безопасности пациента.
ТЕХНИЧЕСКИЕ ХАРАКТЕРИСТИКИ:
ORTHOPHOS SL 3D
Диагностика последнего поколения, идеально решающая задачи рентгеновского обследования независимо от размеров клиники. Поля изображения зависят от определенной клинической картины, поэтому специалистам так удобно работать с ORTHOPHOS SL 3D. Данная установка делает объёмные картинки для одиночной реставрации в 3D качестве полностью всей челюсти такого размера, которого требуется.
Датчик DCS служит для выставления резкости снимков, причём его технологические особенности можно считать революционными для современного рынка стоматологического оборудования.
РАБОЧИЙ ПРОЦЕСС КАК ОБРАЗЕЦ СТАНДАРТА
Чтобы предприятие функционировало «как часы», не последнюю роль играют такие факторы, как экономичность и продуктивность. Среди достоинств ORTHOPHOS SL 3D – возможность зафиксировать голову в трёх точках, что повышает комфортность не только работы врача, но и пациента; световые центраторы, накусочная окклюзионная пластина по запатентованной технологии; сенсорная панель Easypad; специальное ПО SIDEXIS 4.
ОБЪЁМ ДЛЯ ЛЮБЫХ ЦЕЛЕЙ
Планирование одиночной реставрации, эндодонтические исследования и пр. – для этого специалист может выбрать объёмные варианты 8 х 8 см или 11 х 10 см, также предлагается объём 5 х 5,5 см. Снимки в HD-качестве, стандартные настройки или выбор объёма обследования в зависимости от диагноза — всё это врач получает в отличном качестве, а для пациента излучение в районе исследования минимально.
Датчик прямого преобразования DCS
Конструктивные особенности датчика DCS заключаются в превращении рентгеновского излучения в электрическую энергию. Обычная для таких случаев промежуточная стадия светового луча отсутствует. Другими словами, значительно снизив потери сигнала, производитель максимально улучшил чёткость.
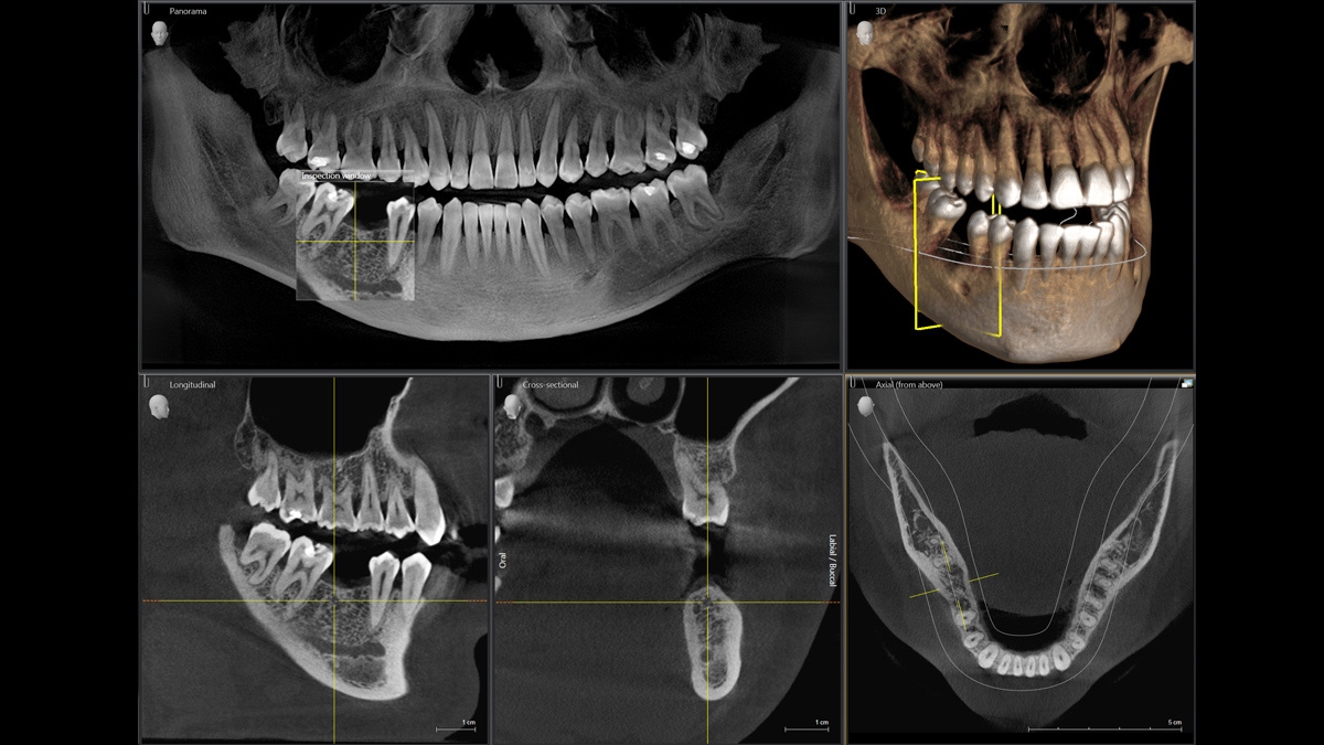
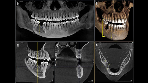
С технологией SL можно за один сеанс получить огромное количество снимков. Те из них, где фокусировка наиболее чёткая, автоматически соединяются. В итоге одна процедура — снимки челюсти полностью в самом лучшем качестве. Даже нестандартные случаи не станут помехой в обследовании. К примеру, при ретинированных зубах уже после того, как снимок сделан, нужную область можно выделить подробнее, и в ещё одном рентгене необходимость отпадает.
Программное наполнение для работы с изображениями с модулем MARS*
Металлические элементы в ротовой полости могут привести к возникновению помех на снимке. Благодаря наличию программного обеспечения MARS наличие объектов из металла определяется автоматически, влияние артефактов нивелируется. Таким образом не требуется повторного изображения для уточнения диагноза.
ПРОИЗВОДИТЕЛЬНОСТЬ ТРУДА
ORTHOPHOS SL 3D – это полный спектр обследований рентгенологии для стоматологической клиники любого уровня. Помимо получения снимков HD качества, важным моментом являются дополнительные пути для развития, которые появляются вместе с интеграцией в рабочий процесс Sirona.
Интегрированная имплантология с GALILEOS Implant
Все манипуляции, связанные с операциями имплантологического плана эффективны и безопасны. Для того чтобы наиболее оптимальным способом спланировать лечение, есть возможность совмещения цифровых слепков и рентгеновских изображений и объединения данных SIDEXIS 4 и CEREC 44.
Анализ дыхательных путей с SICAT Air
Специальная функция привлечёт в вашу клинику людей с проблемами дыхательной системы.
Ортодонтия с CEREC Ortho
Ортодонтические процедуры станут более качественными с установкой установки ORTHOPHOS SL и CEREC.
РАБОЧИЙ ПРОЦЕСС ПО ПЕРЕДОВЫМ ТЕХНОЛОГИЯМ
Модернизированный сенсорный экран Easypad с понятным и удобным интерфейсом позволяет выставить наилучшие параметры контрастности и разрешения. Систематизация данных по диагностике становится значительно удобнее и проще с ПО обработки изображений SIDEXIS 4, ORTHOPHOS.
1. Двух-и трёхмерные снимки совмещаются в одной программе
2. В одном окне можно сравнивать разные 3D-результаты
3. Считанные минуты уходят на просмотр анамнеза пациента.
Временная шкала Timeline – это мгновенное получение информации полного спектра проведённых обследований пациента в порядке хронологии. В результате – экономия рабочего времени и повышение качества работы в целом.
ПРЕИМУЩЕСТВА УСТОЙЧИВОЙ ФИКСАЦИИ ПАЦИЕНТА
ORTHOPHOS SL 2D использует цветовые сигналы и специальные символы для изображения правильной схемы положения головы пациента, причём данный процесс происходит автоматически. Фиксация происходит в трёх точках, опорой человеку служат поручни. Высокое качество снимка помимо прочего, обеспечивается за счёт автоматического измерения расстояния между височными областями головы. Съёмочный блок двигается по индивидуальной для обследуемого траектории.
Что способствует наилучшему позиционированию?
Инновационное ПО для работы с изображениями, включающее временную шкалу, Негатоскоп, функцию сравнения позволяют сделать диагноз максимально точным. Положение пациента делает более комфортным наличие декоративной подсветки с 30-ю вариантами цветовой гаммы.
Благодаря интегрированию в рабочий процесс Sirona специалисты клиники имеют возможность составлять различные схемы лечения, в том числе включая комплексную имплантологию с использованием ПО GALILEOS Implant и хирургических шаблонов (например, шаблонов CEREC 2), а также диагностику и терапию дыхательных путей с помощью SICAT AIR и SICAT OPTISLEEP.
При помощи такого оборудования специалист сможет успешно решить широкий спектр диагностических и лечебных задач. Качественное изображение, достоверность при разноуровневой резкости (технология Sharp Layer), гибкий объём, 30 доступных вариантов цвета. Цефалометрическая визуализация позволяет получать боковые или симметричные снимки, а также определить положение при смещении зуба. Работая при разрешении до 80 мкм в режиме низкой дозы и HD, вы получаете качественные изображения выбранного формата, заботясь о комфорте и безопасности пациента.
ТЕХНИЧЕСКИЕ ХАРАКТЕРИСТИКИ:
| Генератор рентгеновских лучей | 60 - 90 кВ, 3-16 мА | |
| Время панорамной экспозиции |
P1: максимум 14,2 с P1 Quickshot: максимум 9,1 с |
|
| Время излучения Ceph |
Стандартный 9,4 с Quickshot 4,7 с |
|
| Пользовательский интерфейс | Easypad | |
| Позиционирование пациента | автоматический (окклюзионный прикус) | |
| Панорамные технологии | DCS | |
| Автофокус | да | |
| Ceph arm (опционально) | влево или вправо | |
| Блок Ceph с 2 датчиками | да | |
| Быстрый выстрел | да | |
| Поля зрения |
5x5 до 8x8 5x5 до 11x10 |
|
| 3D Низкая Доза | да | |
| Режим HD | да | |
| База | необязательный | |
| Доступно для инвалидов | да | |
| Дистанционное управление | необязательный | |
| Окружающий свет | да |
ORTHOPHOS SL 3D
Диагностика последнего поколения, идеально решающая задачи рентгеновского обследования независимо от размеров клиники. Поля изображения зависят от определенной клинической картины, поэтому специалистам так удобно работать с ORTHOPHOS SL 3D. Данная установка делает объёмные картинки для одиночной реставрации в 3D качестве полностью всей челюсти такого размера, которого требуется.
Датчик DCS служит для выставления резкости снимков, причём его технологические особенности можно считать революционными для современного рынка стоматологического оборудования.
РАБОЧИЙ ПРОЦЕСС КАК ОБРАЗЕЦ СТАНДАРТА
Чтобы предприятие функционировало «как часы», не последнюю роль играют такие факторы, как экономичность и продуктивность. Среди достоинств ORTHOPHOS SL 3D – возможность зафиксировать голову в трёх точках, что повышает комфортность не только работы врача, но и пациента; световые центраторы, накусочная окклюзионная пластина по запатентованной технологии; сенсорная панель Easypad; специальное ПО SIDEXIS 4.
ОБЪЁМ ДЛЯ ЛЮБЫХ ЦЕЛЕЙ
Планирование одиночной реставрации, эндодонтические исследования и пр. – для этого специалист может выбрать объёмные варианты 8 х 8 см или 11 х 10 см, также предлагается объём 5 х 5,5 см. Снимки в HD-качестве, стандартные настройки или выбор объёма обследования в зависимости от диагноза — всё это врач получает в отличном качестве, а для пациента излучение в районе исследования минимально.
Датчик прямого преобразования DCS
Конструктивные особенности датчика DCS заключаются в превращении рентгеновского излучения в электрическую энергию. Обычная для таких случаев промежуточная стадия светового луча отсутствует. Другими словами, значительно снизив потери сигнала, производитель максимально улучшил чёткость.
С технологией SL можно за один сеанс получить огромное количество снимков. Те из них, где фокусировка наиболее чёткая, автоматически соединяются. В итоге одна процедура — снимки челюсти полностью в самом лучшем качестве. Даже нестандартные случаи не станут помехой в обследовании. К примеру, при ретинированных зубах уже после того, как снимок сделан, нужную область можно выделить подробнее, и в ещё одном рентгене необходимость отпадает.
Программное наполнение для работы с изображениями с модулем MARS*
Металлические элементы в ротовой полости могут привести к возникновению помех на снимке. Благодаря наличию программного обеспечения MARS наличие объектов из металла определяется автоматически, влияние артефактов нивелируется. Таким образом не требуется повторного изображения для уточнения диагноза.
ПРОИЗВОДИТЕЛЬНОСТЬ ТРУДА
ORTHOPHOS SL 3D – это полный спектр обследований рентгенологии для стоматологической клиники любого уровня. Помимо получения снимков HD качества, важным моментом являются дополнительные пути для развития, которые появляются вместе с интеграцией в рабочий процесс Sirona.
Интегрированная имплантология с GALILEOS Implant
Все манипуляции, связанные с операциями имплантологического плана эффективны и безопасны. Для того чтобы наиболее оптимальным способом спланировать лечение, есть возможность совмещения цифровых слепков и рентгеновских изображений и объединения данных SIDEXIS 4 и CEREC 44.
Анализ дыхательных путей с SICAT Air
Специальная функция привлечёт в вашу клинику людей с проблемами дыхательной системы.
Ортодонтия с CEREC Ortho
Ортодонтические процедуры станут более качественными с установкой установки ORTHOPHOS SL и CEREC.
РАБОЧИЙ ПРОЦЕСС ПО ПЕРЕДОВЫМ ТЕХНОЛОГИЯМ
Модернизированный сенсорный экран Easypad с понятным и удобным интерфейсом позволяет выставить наилучшие параметры контрастности и разрешения. Систематизация данных по диагностике становится значительно удобнее и проще с ПО обработки изображений SIDEXIS 4, ORTHOPHOS.
1. Двух-и трёхмерные снимки совмещаются в одной программе
2. В одном окне можно сравнивать разные 3D-результаты
3. Считанные минуты уходят на просмотр анамнеза пациента.
Временная шкала Timeline – это мгновенное получение информации полного спектра проведённых обследований пациента в порядке хронологии. В результате – экономия рабочего времени и повышение качества работы в целом.
ПРЕИМУЩЕСТВА УСТОЙЧИВОЙ ФИКСАЦИИ ПАЦИЕНТА
ORTHOPHOS SL 2D использует цветовые сигналы и специальные символы для изображения правильной схемы положения головы пациента, причём данный процесс происходит автоматически. Фиксация происходит в трёх точках, опорой человеку служат поручни. Высокое качество снимка помимо прочего, обеспечивается за счёт автоматического измерения расстояния между височными областями головы. Съёмочный блок двигается по индивидуальной для обследуемого траектории.
Что способствует наилучшему позиционированию?
- Накусочная окклюзионная пластина
- Сенсорное управление по технологии EasyPad
- Фиксация головы в трёх точках
- Световые индикаторы
Инновационное ПО для работы с изображениями, включающее временную шкалу, Негатоскоп, функцию сравнения позволяют сделать диагноз максимально точным. Положение пациента делает более комфортным наличие декоративной подсветки с 30-ю вариантами цветовой гаммы.
Благодаря интегрированию в рабочий процесс Sirona специалисты клиники имеют возможность составлять различные схемы лечения, в том числе включая комплексную имплантологию с использованием ПО GALILEOS Implant и хирургических шаблонов (например, шаблонов CEREC 2), а также диагностику и терапию дыхательных путей с помощью SICAT AIR и SICAT OPTISLEEP.