Top.Mail.Ru
Архангельск
Пункт самовывоза: Архангельск, Кузнечихинский промузел, 1-ый пр-д, 7
Зелёный свет
вашей клинике

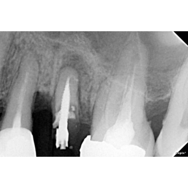
Acteon SAG SOPIX2 - система компьютерной визиографии (стоматологический визиограф)

Acteon SAG SOPIX2 - система компьютерной визиографии (стоматологический визиограф)
Acteon SAG SOPIX2 - система компьютерной визиографии (стоматологический визиограф)
Прибор SOPIX2 представляет собой цифровую систему визиографии, используемую стоматологами. Сенсор (расположенный во рту пациента наряду с серебряной пленкой) получает рентгенограммы, создаваемые генератором. Затем он передает данные в подключенный к нему контрольный модуль, который, в свою очередь, передает информацию на экран компьютера.
Производитель
Страна
Франция;
Гарантия, мес.
12;
Способы оплаты
Доставка
Описание

Все снимки, сделанные системой SOPIX2, выводятся на экран при помощи программы SoproImaging, поставляемой в комплекте. Данное ПО отображает, обрабатывает и хранит снимки, сделанные при помощи SOPIX2. Эксклюзивная технология A.C.E™ (Автоматический Контроль Экспозиции), разработанная SOPRO, наделяет систему огромной функциональностью. При помощи нее, SOPIX2 анализирует радиацию при каждой съемке, исключая риск передержки экспозиции.

Технические характеристики:

USB Контроллер

  • Силовое питание: Через USB порт / 5V
  • Потребление: 500 mA
  • длина кабеляUSB: 3 м
  • Габариты: 27.5 x 98 x 13 мм
  • Общий вес: 118 г
  • Проникание жидкости: IPX0 (защитный индекс)

Сенсор (размер 1)

  • Разрешение SOPIX - SOPIX²: 25 pl / мм
  • Размер пикселя: 20 x 20 мм
  • Технология: CMOS + Оптоволокно + сцинтиллятор
  • Длина кабеля: 70 см
  • Внешние габариты: 38.9 x 24.9 x 5.3 мм
  • Размер рабочей зоны:20 x 30 мм (600 мм²)
  • Число пикселей: 1.5Млн. (1000 x 1500)

Сенсор (размер 2)

  • Разрешение SOPIX - SOPIX²: 25 pl / мм
  • Размер пикселя: 20 x 20 μм
  • Технология: CMOS + Оптоволокно + сцинтиллятор
  • Длина кабеля: 70 см
  • Внешние габариты: 31x 42 x 5.3 мм
  • Размер рабочей зоны:26 x 34 мм (884 мм2)
  • Число пикселей: 2,21Млн. (1700 x 1300)

Комплектация:

  1. Сенсор, размер 1, включая контроллер и кабель длиной 3.70 м или Сенсор, размер 2, включая контроллер и кабель длиной 3.70 м.
  2. Держатель сенсора.
  3. 10 защитных чехлов сенсора.
  4. Диск CD с ПО SOPRO.
  5. Многоязычная инструкция, объединенная в CD- ROM SoproImaging.
  6. Помощник быстрого запуска.

 

Характеристики
Производитель
Страна
Франция;
Гарантия, мес.
12;
Отзывы
Прибор SOPIX2 представляет собой цифровую систему визиографии, используемую стоматологами. Сенсор (расположенный во рту пациента наряду с серебряной пленкой) получает рентгенограммы, создаваемые генератором. Затем он передает данные в подключенный к нему контрольный модуль, который, в свою очередь, передает информацию на экран компьютера.


Нужна консультация?
Подробно расскажем о продукции и услугах, подберем оптимальный вариант и предложим лучшие цены!
В связи с резкими колебаниями курсов валют окончательные цены на интересующие позиции просим уточнять у менеджеров компании. x