|
С помощью нового блока для съёмки CEREC AC Omnicam цифровые оптические слепки теперь получать так же легко, как и делать обычные снимки цифровым фотоаппаратом. Новый Церек позволяет расширить спектр клинических показаний и устанавливает новые стандарты в области точности, скорости и простоты использования CAD/CAM-системы.
CEREC Omnicam С помощью камеры CEREC последнего поколения, обеспечивающей привычный комфорт при простом управлении, можно работать в полноцветном режиме и с высочайшей чёткостью. Настоящим новшеством, значительно превосходящим все предыдущие технологии сканирования на сегодняшний день, и, таким образом, способным удовлетворить потребности большинства заказчиков, является цветной оптический слепок, выполняемый в полости рта пациента без использования порошка. Камера CEREC Omnicam будет предлагаться в качестве основной камеры к аппарату CEREC AC Omnicam, как альтернатива уже хорошо известной камеры CEREC Bluecam. Эти две камеры дополняют друг друга в отношении возможностей эксплуатации и, следовательно, смогут заинтересовать различные категории стоматологов. CEREC Bluecam убеждает своей высокой эффективностью при сканировании, так что она наверняка сможет заинтересовать даже самых экономных заказчиков. CEREC Omnicam, благодаря своей «легкости сканирования", привлечёт интерес даже тех стоматологов, которые работу без изготовления слепка на практике не могли бы себе представить никоим образом.
Новый эргономичный дизайн Дизайн нового блока для съёмки CEREC AC Omnicam стал более привлекательным и современным. Плавные линии и безупречный стиль отражают высокую эстетичность и эргономичность, что немаловажно для имиджа клиники.
Инновации, облегчающие работу врача Кроме новой плёночной клавиатуры и оптического трекбола, соответствующих всем требованиям гигиены, в арсенале CEREC AC Omnicam имеется 19-дюймовый монитор, дающий изображение превосходного качества.
UPS (опционально) Опционально предлагается автономное устройство беспрерывного электроснабжения, благодаря которому аппарат продолжает работать в течение 6 минут после отключения электроэнергии. |
|
|
CEREC Omnicam - это простое и быстрое сканирование без использования антибликового спрея - Непревзойдённая лёгкость в эксплуатации - Сканирование без использования порошка - Сверхчёткие снимки 3D с естественной передачей цветов |
КАМЕРА CEREC OMNICAM - НЕПРЕВЗОЙДЕННЫЙ КОМФОРТ
СEREC Omnicam приятно ощущается в руке и имеет стильный дизайн. Благо-даря небольшой головке камеры и тонкой форме, труднодоступные зоны в полости рта пациента не доставляют никаких проблем. Округлённый корпус также упрощает работу с камерой и повышает чувство комфорта.

Краткий обзор обеих систем (Omnicam и Bluecam) для сравнения:

Сканирование без использования порошка.
Камера CEREC Omnicam оптимально подготовлена к сканированию натурального зуба и десны без припудривания. За счёт этого удаётся сэкономить дополнительный рабочий шаг, сократить время на обучение этой процедуре, значительно ускорить этот малоприятный процесс выполнения слепка для полной челюсти или половины челюсти.
Чёткие снимки 3D в естественных цветах.
Ниже представлены несколько иллюстраций, на которых показано, как с помощью цветного изображения можно упростить интуитивную ориентацию в полости рта пациента, отличать зубную ткань от десны, а также амальгаму, золото или композит.

Использование в качестве средства коммуникации с пациентом.
Камера CEREC Omnicam даёт ещё одно особое преимущество: в режиме «Консультация пациента» Вы можете снимать на камеру видеокадры и наглядно в естественных цветах "демонстрировать" пациенту необходимость лечения и проведения подобранных Вами лечебных процедур.
Работа с камерой в 4 этапа.
Камеру необходимо держать на расстоянии от 0-15 мм (в идеале 5 мм) от поверхности сканирования. Как только камера проводится над зубом или десной, начинается сбор данных. Во время непрерывного сбора данных на экране автоматически появляется цветная 3D-модель. Особенно тем пользователям, которые до сих пор работали с камерой CEREC Bluecam, необходимо следить за сильным наклоном камеры. Для процесса съёмки рекомендуется вести камеру в следующей последовательности:
1. Окклюзионное сканирование.
Камера начинает снимать из окклюзионной позиции в сторону зуба, который в дистальном направлении находится ближе всего к препарируемому зубу. Затем сканирование проводится в мезиальном направлении, при этом камера CEREC Omnicam медленно ведётся в окклюзионной плоскости от зуба, лежащего в дистальном направлении над препарируемым зубом к зубу, лежащему в мезиальном направлении.

2. Сканирование буккальной стороны.
На соседнем зубе, лежащим к препарируемому зубу в мезиальном направлении, камера поворачивается на 90 ° в букальном направлении, а потом снова ведётся по всей траектории обратно над препарируемым зубом в дистальном направлении. При этом камера должна держаться под наклоном, то есть очень важно ведение камеры под прямым углом, особенно для тех, кто до сих пор работал с камерой CEREC Bluecam.

3.Сканирование в лингвальном направлении.
На соседнем зубе, лежащим к препарируемому зубу в дистальном направлении, камера поворачивается на 90 ° в другую сторону, под прямым углом в лингвальном направлении, а потом снова ведётся по всей траектории обратно, с лингвальной стороны над препарируемым зубом в мезиальном направлении. На этом этапе также очень важно наклонять камеру под прямым углом, то есть вести её под наклоном в 90°.

На четвёртом, последнем этапе, необходимо выполнить съёмку аппроксимальных поверхностей в дистальном и мезиальном направлении, при этом пользователь должен вести камеру CEREC Omnicam волнообразным движением в окклюзионной плоскости над препарируемым зубом.
Новое программное обеспечение CEREC 4.3
CEREC помогал врачам-стоматологам на протяжении более 30-ти лет делать оптические слепки, создавать виртуальные модели и дизайн реставраций, а также изготавливать их - все за одно посещение пациента. Sirona с успехом воплотила в жизнь новые стандарты и простоту использования благодаря научно-исследовательским разработкам, полученным в сотрудничестве c учеными и со многими врачами-пользователями CEREC. Многие новые опции в программном обеспечении CEREC 4.3 позволяют повысить качество клинического процесса наряду с его оптимизацией и интуитивным управлением.
Преимущества нового программного обеспечения CEREC 4.3
Повышение качества клинического процесса
Постоянно оптимизируя этап сканирования с камерой Omnicam, мы смогли усовершенствовать процесс получения оптических слепков, а также повысить разрешение и улучшить цветовую насыщенность цифровой модели. В результате сканирование стало более простым и качественным. Сканирование с Оmnicam теперь происходит быстрее и без перерывов, особенно во фронтальном отделе. Появился новый опциональный инструмент, который можно активировать и проанализировать качество полученного цифрового слепка. Благодаря более высокому разрешению виртуальной модели стало возможным более четко определять края для точной препасовки и стало проще прорисовывать границу реставрации.
В программе CEREC SW 4.3 появилась опция фрезерования для работы за одно посещение. Фрезерование твердосплавными борами является оптимальным методом для обработки диоксида циркония и полимеров. По сравнению с шлифованием алмазными борами, что и впоследствии остается опцией для этих материалов, фрезерование твердосплавными инструментами является преимущественным методом для обработки диоксида циркония, поскольку уменьшает количество сколов и стабилизирует края реставраций. Более того, хвостовик становится меньше. Полимерные материалы после фрезерования имеют значительно более гладкую поверхность. Вдобавок, твердосплавные инсрументы не увязают в полимерных материалах, поэтому служат дольше.
Поднутрения на границе препарирования уже не являются проблемой в программном обеспечении CEREC SW 4.3. Теперь реставрации можно размещать даже в самых сложных положениях с поднутрениями. Программное обеспечение при установке оси введения реставрации сообщает о том, что имеются поднутрения, и предлагает виртуально заблокировать их области границы препарирования или оставить как есть. Это позволяет производить минимально инвазивное препарирование и благодаря этому сообщению улучшать качество границы препарирования при необходимости. В любом случае, Вы принимаете решение и полностью контролируете ситуацию.
Упрощенный рабочий процесс
Начиная с версии программного обеспечения CEREC SW 4.2 появилась возможность использования виртуального артикулятора для учета динамического движения челюсти при создании реставрации. Это значительно уменьшает необходимость ручного пришлифовывания в соответствии с выбранным материалом и также позволяет сохранить морфологию реставрации. В новой версии программы CEREC SW 4.3 использование виртуального артикулятора стало еще проще. При выборе опции артикулятора движения с учетом средних параметров рассчитываются автоматически. Вдобавок, виртуальный артикулятор позволяет использовать пользовательские настройки для параметров и визуализации динамического соотношения, чтобы результат был максимально контролируемым. Абсолютно новый инструмент в программе CEREC SW 4.3 - поднятие прикуса.
Для создания более естественной вестибулярной поверхности виниров и коронок в переднем отделе в программном обеспечении CEREC SW 4.3 теперь можно использовать не один, а несколько шаблонов текстур. Они разделены на горизонтальные и вертикальные элементы для достижения более высокого эстетического результата.

В новой версии программы CEREC SW 4.3 появился выбор новой титановой платформы TiBase для системы имплантатов Thommen Medical, таким образом расширилась линейка предлагаемых титановых платформ для изготовления индивидуальных абатментов. Индивидуальный абатмент изготавливается из диоксид-циркониевого блока (inCoris ZI meso), фиксируется на титановую ортопедическую основу и опционально можно изготовить CEREC коронку на имплантате
Теперь с CEREC SW 4.3 Вы можете отправить Вашу работу для финализации в зуботехническую лабораторию, используя интегрированную закладку Connect. Ваша работа просто автоматически выгружается по интернет в портал Sirona Connect и пересылается в лабораторию.
Больше преимуществ программного обеспечения CEREC

Пользовательский интерфейс четко структурирован и состоит из понятных иконок. Вы всегда знаете, на каком этапе Вы находитесь в процессе создания реставрации и двигаетесь шаг за шагом. Вы видите и можете использовать только те инструменты, которые необходимы на каждом из этапов.

В программном обеспечении CEREC очень легко менять форму виртуальной реставрации. Просто нажмите и удерживайте клавишу мышки, перемещайте мышку - и все готово. Вы интуитивно работаете прямо на поверхности зуба и всегда полностью контролируете процесс.

В зависимости от выбранной клинической ситуации, Вы можете работать одновременно на нескольких разных реставрациях. Например, работая на фронтальной группе зубов, у Вас есть возможность одновременно моделировать виниры, коронки и мостовидные конструкции. Инструменты моделирования могут применяться к контрлатеральным зубам двух квадрантов. Благодаря этому Вы получаете высокий эстетический результат и довольных пациентов.

Функция CEREC Biogeneric стала революционной в создании окклюзионной поверхности. Запатентованный процесс помогает доктору воспроизвести индивидуальную естественную форму зубов каждого пациента. Не может быть проще: нажатием мышки пользователь может создать форму коронок, виниров, вкладок различных видов и полноанатомических мостовидных протезов.

С функцией артикулятора пользователь может определить статические и динамические контактные поверхности и создать корректную функциональную окклюзию. Программа показывает полные пути движений. Инструменты позволяют произвести индивидуальные настройки и убрать лишние контакты одним щелчком мыши. В новом программном обеспечении 4.3 можно настроить правое и левое положение челюстей в окклюзии, применяя разные параметры. Использование виртуального резцового штифта также позволяет раскрыть окклюзию, чтобы убедиться, что нет замков при тотальной реставрации.

Реставрации на имплантатах за одно посещение. Для того чтобы это делать, на имплантаты в полости рта устанавливаются специальные трансферы – Scan Bodies, затем можно смоделировать полноанатомическую коронку с винтовой фиксацией или индивидуальный абатмент, после чего можно отфрезеровать готовую реставрацию, используя соответствующие материалы.
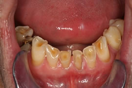
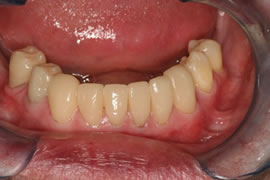
ОБЗОР КЛИНИЧЕСКИХ СЛУЧАЕВ
| Работы, выполненные при помощи CAD/CAM системы CEREC | |
| До | После |
|
|
| После | |
|
|
| До | После |
|
|
| До | После |
|
|
| До | После |
|
|
| Case study photos are courtesy of Dr Simon Smyt | |